Ç㸮Áúȯ
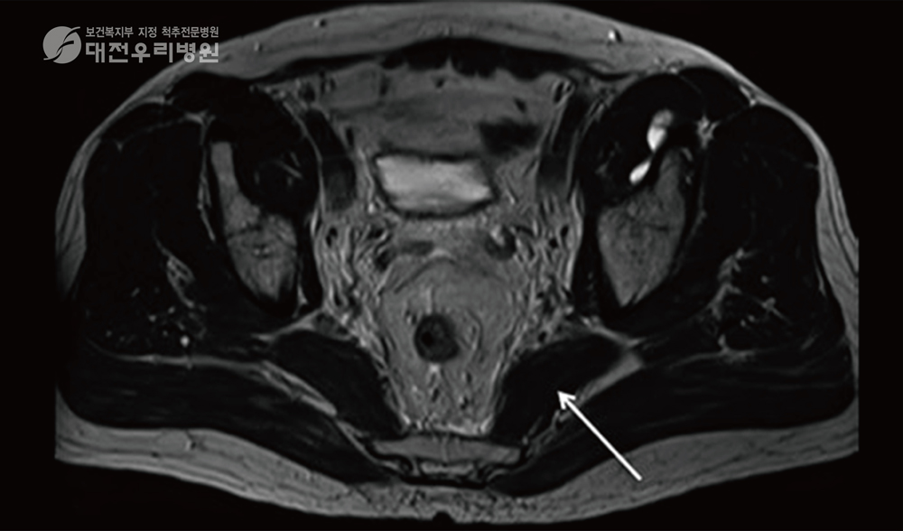
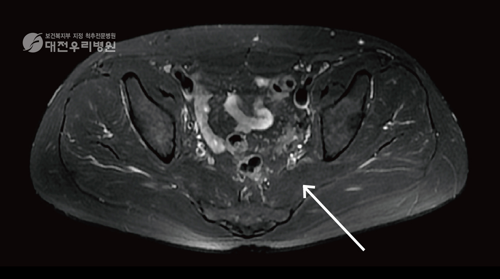
¿ì¸® ¾ûµ¢ÀÌ ºÎÀ§¿¡´Â ¿©·¯ °¡Áö ±ÙÀ°ÀÌ Àִµ¥ ±× Áß¿¡ ´ëµÐ±Ù ¾ÈÂÊ ¾ûµ¢ÀÌ Áß¾Ó¿¡ À§Ä¡ÇÑ ±ÙÀ°ÀÌ ÀÌ»ó±ÙÀÔ´Ï´Ù. ÀÌ»ó±Ù ÁõÈıºÀ̶õ ÀÌ»ó±Ù ±ÙÀ°ÀÌ ÀÌ»ó±Ù ¹ØÀ¸·Î Áö³ª°¡´Â Á°ñ ½Å°æÀ» ´©¸£°Å³ª ÀÚ±ØÇؼ ¸¶Ä¡ Ç㸮µð½ºÅ©Ã³·³ ¾ûÄ¡¿¡¼ ´Ù¸® µÚ·Î Àú¸®°í ¾¥½Ã´Â ÅëÁõÀÌ »ý±â°Ô µÇ´Â ÁúȯÀ» ¸»ÇÕ´Ï´Ù. ±×·±µ¥ Á°ñ ½Å°æÀÇ ºÐÁöµéÀÌ ¹ß¹Ù´Ú ³¡±îÁö ³»·Á°¡±â ¶§¹®¿¡ Áõ»óÀÌ ½ÉÇÑ È¯ÀÚµéÀº ´Ù¸® µÚµµ Àú¸®°í ¾¥½Ã¸é¼ ¹ß¹Ù´Ú±îÁö ÅëÁõÀ» È£¼ÒÇÕ´Ï´Ù.

°¨º°Á¡ |
ÀÌ»ó±Ù ÁõÈıº |
Ç㸮µð½ºÅ© |
|---|---|---|
|
¾ÇÈ µ¿ÀÛ |
ÁÖ·Î ¾É¾Æ ÀÖÀ» ¶§ |
ÁÖ·Î Ç㸮 ¼÷ÀÏ ¶§ |
|
MRI ÃÔ¿µ ½Ã |
½Å°æ ´¸² ¾øÀ½ |
½Å°æ ´¸² ÀÖÀ½ |
|
Ç㸮 ½Å°æ Ä¡·á |
È¿°ú ¾øÀ½ |
È¿°ú ÀÖÀ½ |
|
ÀÌ»ó±Ù Ä¡·á |
È¿°ú ÀÖÀ½ |
È¿°ú ¾øÀ½ |
|
ÀÌ»ó±Ù ¾Ð¹Ú ½Ã ÅëÁõ |
ÅëÁõ ÀÖÀ½ |
ÅëÁõ °æ¿ì¿¡ µû¶ó ³ªÅ¸³² |
ÃÖ±Ù¿¡´Â ÀÌ»ó±Ù ÁõÈıºÀÌ ÀǽɵǸé Áø´Ü°ú Ä¡·á¸¦ µ¿½Ã¿¡ ÇÒ ¼ö ÀÖ´Â ±ÙÀ° ½Å°æ ÀڱؼúÀ» ½ÃÇàÇÕ´Ï´Ù. ±ÙÀ° ½Å°æ ÀڱؼúÀ̶õ ÅëÁõÀÇ ¿øÀÎÀÌ µÇ´Â ±ÙÀ°, ½Å°æ, °üÀý ºÎÀ§¸¦ IMS ¿ë ¹Ù´Ã·Î ÀÚ±ØÇÏ¿© Ä¡·áÇÏ´Â ÅëÁõ ½Ã¼ú·Î ¹¶Ä£ ÀÌ»ó±Ù ±ÙÀ°À» ¹Ù´Ã·Î Ç®¾îÁÖ´Â Ä¡·áÀÔ´Ï´Ù. ƯÈ÷ ÀÌ Ä¡·á´Â ¾à¹°ÀÌ ¾È µé¾î°¡±â¿¡ ºÎÀÛ¿ëÀÌ ¾ø´Â °ÍÀÌ ÃÖ´ë ÀåÁ¡ÀÔ´Ï´Ù. ±×¸®°í È¿°ú ¸é¿¡¼ ¾àÀ̳ª µµ¼ö Ä¡·á, ¹°¸®Ä¡·áº¸´Ù ÈξÀ ´õ Ź¿ùÇÕ´Ï´Ù. ƯÈ÷ ȯÀÚ¸¦ Ä¡·áÇÒ ¶§ ¾Æ·¡ ±×¸²¿¡¼ º¸µíÀÌ ÃÊÀ½ÆÄ À¯µµÇÏ¿¡ Ä¡·á¸¦ ¸¹ÀÌ Çϰí ÀÖ½À´Ï´Ù. ±×·¯¸é ÀÌ»ó±Ù Á¤È®ÇÑ ºÎÀ§¿¡ Ç÷°ü ½Å°æÀ» ÇÇÇÏ¿© ¿ÀÂ÷ ¾øÀÌ ¾ÈÀüÇÏ°Ô ½Ã¼úÇÒ ¼ö ÀÖ½À´Ï´Ù.
ÀÌ»ó±ÙÁõÈıº
±Ù¸·ÅëÁõÁõÈıº
¾î±úÅëÁõ
¸¸¼º¿äÅë
¹«¸ÅëÁõ
¹ßµÚ²ÞÄ¡ ÅëÁõ
°ÅºÏ¸ñÁõÈıº, Ç㸮µð½ºÅ©¿Í ¸ñµð½ºÅ©¿¡ °ü·ÃµÈ Áúȯ Ä¡·á
Ç÷¾×ÀÀ°í¿¡ ¹®Á¦°¡ Àְųª, Ç×Ç÷¾×ÀÀ°íÁ¦(¿ÍÆÄ¸° µî)À» º¹¿ëÇÏ´Â °æ¿ì
Áֻ翡 ½ÉÇÑ ¾Ë·¹¸£±â°¡ ÀÖ´Â °æ¿ì
¹Ù´Ã¸¸À¸·Î ÀÚÁïÇÏ¸é ½Ã¼ú¿¡ µû¸¥ ÅëÁõÀÌ ÀÖÀ¸¹Ç·Î ½Ã¼úºÎÀ§¿¡ ¼Ò·®ÀÇ ¸¶ÃëÁÖ»ç¾à¹°À» ÁÖÀÔ ÈÄ ½ÃÇàÇÕ´Ï´Ù.
¡Ø À§ÀÇ °æ¿ì¿¡ ÇØ´çÇÏ´Â °æ¿ì Ä¡·á Àü ´ã´ç ÁÖÄ¡ÀÇ¿¡°Ô ¹Ì¸® ¸»¾¸ÇØ Áֽñ⠹ٶø´Ï´Ù.
¿ÊÀ» °¡¿îÀ¸·Î °¥¾Æ ÀÔ½À´Ï´Ù.
¾È³»¿¡ µû¶ó ÁöÁ¤ Ä¡·á½Ç·Î ÀÔ½ÇÇÕ´Ï´Ù.
¹®Áø°ú ÀÇÇÐÀû °Ë»ç¸¦ ÅëÇÏ¿© Ä¡·áÇÒ ºÎÀ§¸¦ °áÁ¤ÇÕ´Ï´Ù.
ÀÌ»ó±Ù ÁõÈıº¹Ù´Ã, Áֻ縦 ÀÌ¿ë Ä¡·á¸¦ ¹Þ½À´Ï´Ù.
Ä¡·á°¡ ³¡³ª¸é Áö½Ã¿¡ µû¶ó ¾ÈÁ¤À» ÃëÇÑ ÈÄ ±Í°¡ÇÕ´Ï´Ù.
Ä¡·á ÈÄ ºÎÀ§¿¡ µû¶ó ¾à°£ÀÇ ¾îÁö·¯¿òÁõÀÌ ¹ß»ýÇÒ ¼ö ÀÖÀ¸¸ç, ±×·± °æ¿ì ´ã´ç ÀÇ·áÁøÀÇ Áö½Ã¿¡ µû¶ó ¾ÈÁ¤À» ÃëÇϽŠÈÄ ±Í°¡ÇϽñ⠹ٶø´Ï´Ù.
Ä¡·á ÈÄ È¯ÀÚ¿¡ µû¶ó 2~3ÀÏ Á¤µµ Æò¼Òº¸´Ù ´õ ½ÉÇÑ ÅëÁõÀÌ À¯¹ßµÉ ¼ö ÀÖÀ¸³ª °ÅÀÇ ´ëºÎºÐ ȸº¹µË´Ï´Ù.
Ä¡·á ÈÄ Æò¼Ò¿¡ ºñÇØ È£ÈíÀÌ Èûµé¾îÁú °æ¿ì ¹Ù·Î º´¿øÀ¸·Î ¹®ÀÇÇØ Áֽñ⠹ٶø´Ï´Ù.
½Ã¼ú ÈÄ °¡º¿î ¸ö»ì, ³ª¸¥ÇÑ Áõ»óÀÌ ¿Ã ¼ö ÀÖÀ¸³ª ÀÌ´Â ÀϽÃÀû Ä¡·á ¹ÝÀÀÀÔ´Ï´Ù.
¡Ø °£´ÜÇÑ »þ¿ö´Â 24½Ã°£ ÈĺÎÅÍ, °øÁ߸ñ¿åÅÁÀº 3~4ÀÏ ÀÌÈĺÎÅÍ ÀÌ¿ëÀÌ °¡´ÉÇÕ´Ï´Ù.